7 Alasan Gigi Tumbuh Tidak Beraturan Kondisi gigi yang tidak...
Read MoreBridge Gigi
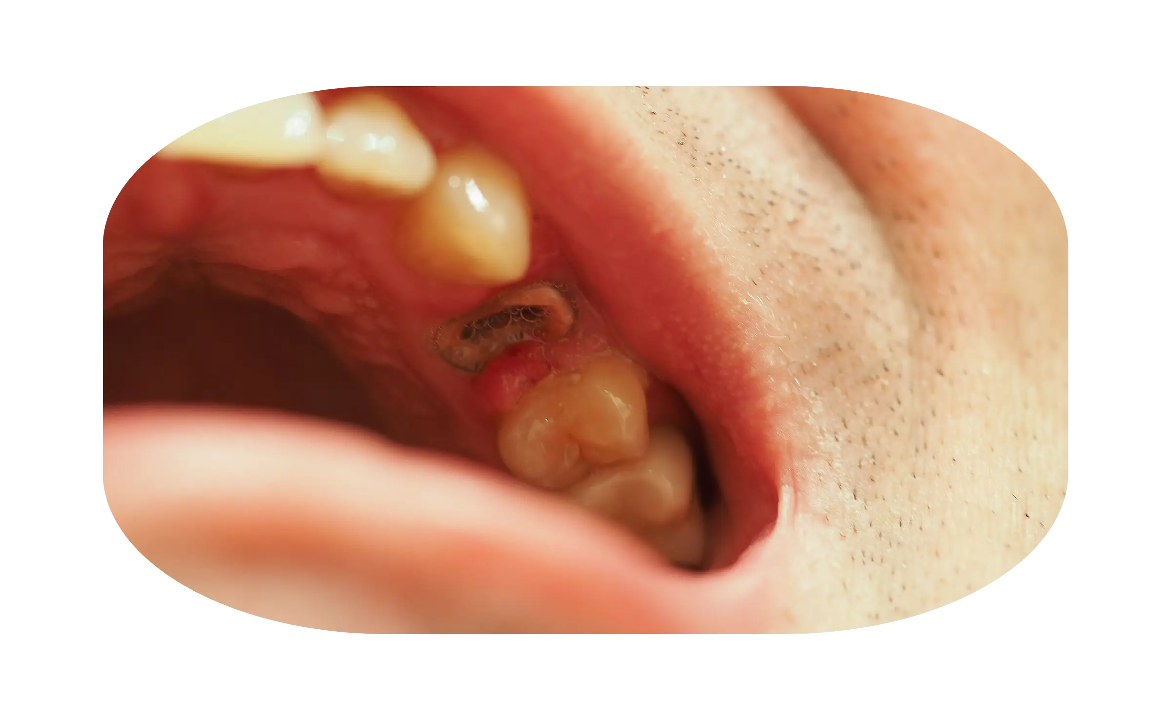
Siapa yang Membutuhkan Perawatan Bridge Gigi?

Gigi yang Hilang atau Rusak Parah

Gigi Bergeser Akibat Celah Gigi Hilang

Tidak Nyaman Saat Mengunyah
Kembalikan Kenyamanan Gigi dengan Dental Bridge
Profile Klinik Utama Pandawa
Sejak 2012, Klinik Utama Pandawa berkomitmen memberikan pelayanan terbaik, tepercaya dan aman bagi masyarakat Indonesia.
- Tenaga Medis Profesional & Tersertifikasi
- Fasilitas Canggih dengan Laboratorium & Apotek
- Data & Privasi Pasien Terjaga & Aman
- Ruang Tunggu Nyaman & Pelayanan Ramah
-
Buka Setiap Hari
Senin - Sabtu Pukul 10:00 - 19:00 WIB
Minggu Pukul 12:00 - 19:00 WIB -
Reservasi & Konsultasi Online
Call & Chat +62811742777
Fasilitas Klinik










Lokasi Klinik Utama Pandawa
Konsultasi Dokter Online
Tulis Keluhan Anda Kepada Dokter Spesialis Segera
Anda dapat membuat janji dengan menghubungi nomor telepon klinik kami di +62 811 742 777 atau Klik Contact Us
Silahkan untuk melengkapi form data diri dan layanan yang akan anda pilih sesuai promo atau diskon yang berlaku. Click Disini!
Anda dapat melakukan konsultasi gratis dengan menghubungi nomor telepon klinik kami di +62 811 742 777 atau Klik Contact Us
Overbite: Penyebab, Gejala, dan Cara Mengatasinya
Overbite: Penyebab, Gejala, dan Cara Mengatasinya Overbite adalah kondisi di...
Read MoreUnderbite: Penyebab, Gejala, dan Cara Mengatasinya
Underbite: Penyebab, Gejala, dan Cara Mengatasinya Underbite adalah kondisi gangguan...
Read MoreAnodontia: Gangguan Ketiadaan Gigi Sejak Lahir
Anodontia: Gangguan Ketiadaan Gigi Sejak Lahir Anodontia adalah kondisi langka...
Read MoreLegalitas Klinik
Klinik Utama Pandawa berkomitmen untuk terus memberikan pelayanan terbaik dan tepercaya untuk masyarakat Indonesia sesuai dengan izin dan ketentuan yang berlaku.