Crown Gigi untuk Estetika dan Kesehatan Mulut: Pilihan yang Tepat...
Read MoreCrown Gigi
Siapa Saja yang Membutuhkan Pemasangan Crown Gigi?

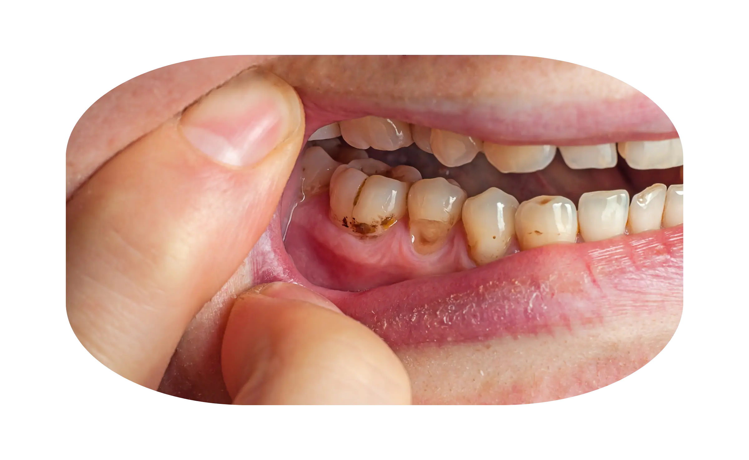
Gigi yang Rusak Akibat Karies (Pembusukan)

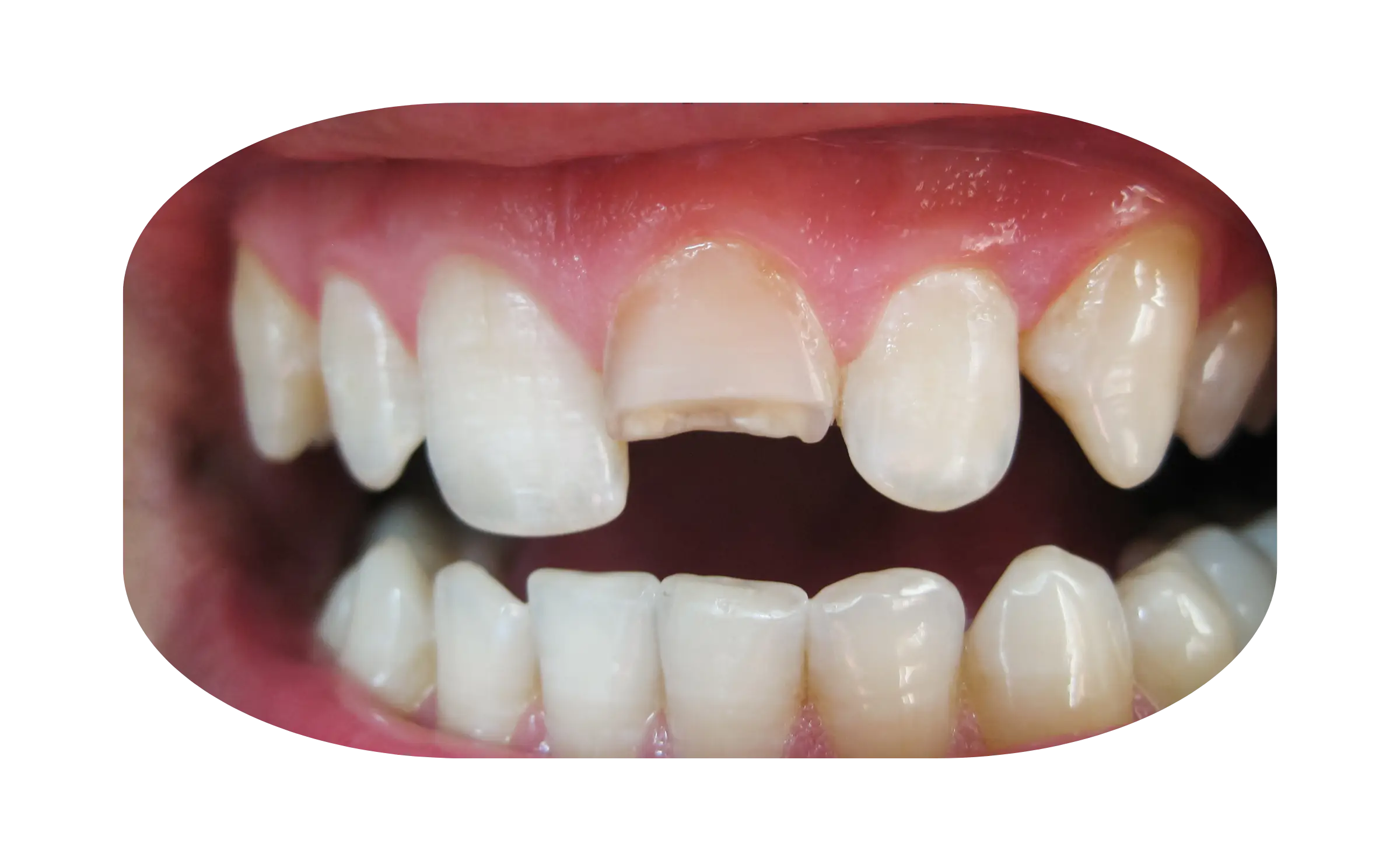
Gigi Patah atau Retak akibat kecelakaan atau trauma

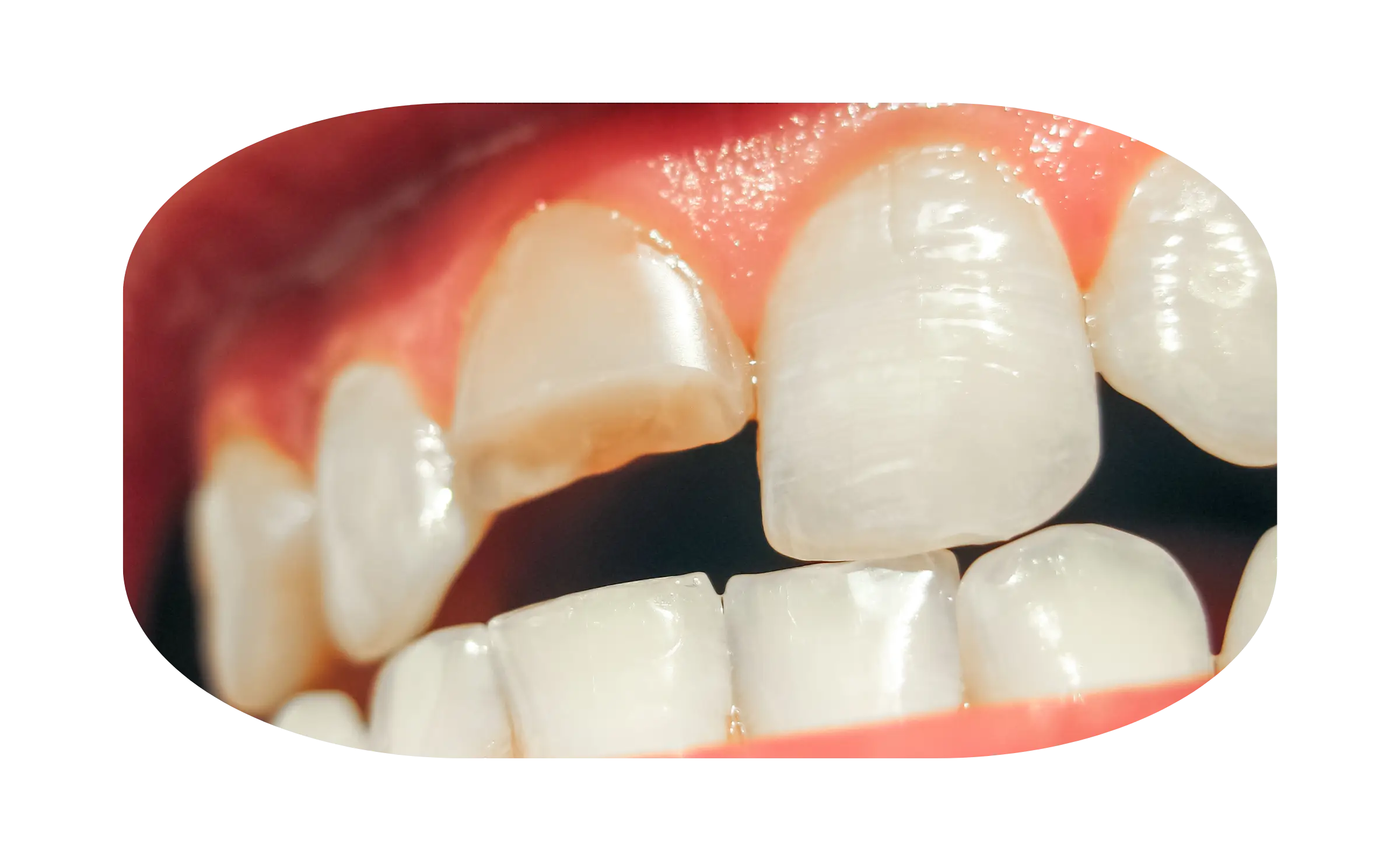
Gigi Rapuh Setalah Perawatan Saluran Akar
Ingin Pasang Crown Tapi Ragu? Konsultasi Dokter Aja!
Profile Klinik Utama Pandawa
Sejak 2012, Klinik Utama Pandawa berkomitmen memberikan pelayanan terbaik, tepercaya dan aman bagi masyarakat Indonesia.
- Tenaga Medis Profesional & Tersertifikasi
- Fasilitas Canggih dengan Laboratorium & Apotek
- Data & Privasi Pasien Terjaga & Aman
- Ruang Tunggu Nyaman & Pelayanan Ramah
-
Buka Setiap Hari
Senin - Sabtu Pukul 10:00 - 19:00 WIB
Minggu Pukul 12:00 - 19:00 WIB -
Reservasi & Konsultasi Online
Call & Chat +62811742777
Fasilitas Klinik










Lokasi Klinik Utama Pandawa
Konsultasi Dokter Online
Tulis Keluhan Anda Kepada Dokter Spesialis Segera
Anda dapat membuat janji dengan menghubungi nomor telepon klinik kami di +62 811 742 777 atau Klik Contact Us
Silahkan untuk melengkapi form data diri dan layanan yang akan anda pilih sesuai promo atau diskon yang berlaku. Click Disini!
Anda dapat melakukan konsultasi gratis dengan menghubungi nomor telepon klinik kami di +62 811 742 777 atau Klik Contact Us
Harga Pasang Crown Gigi di Klinik Utama Pandawa
Harga Pasang Crown Gigi di Klinik Utama Pandawa Crown gigi...
Read MoreLegalitas Klinik
Klinik Utama Pandawa berkomitmen untuk terus memberikan pelayanan terbaik dan tepercaya untuk masyarakat Indonesia sesuai dengan izin dan ketentuan yang berlaku.