Berapa Sih Harga Scaling Gigi? Scaling gigi adalah salah satu...
Read MoreScaling Gigi
Siapa yang Cocok untuk Scaling Gigi?

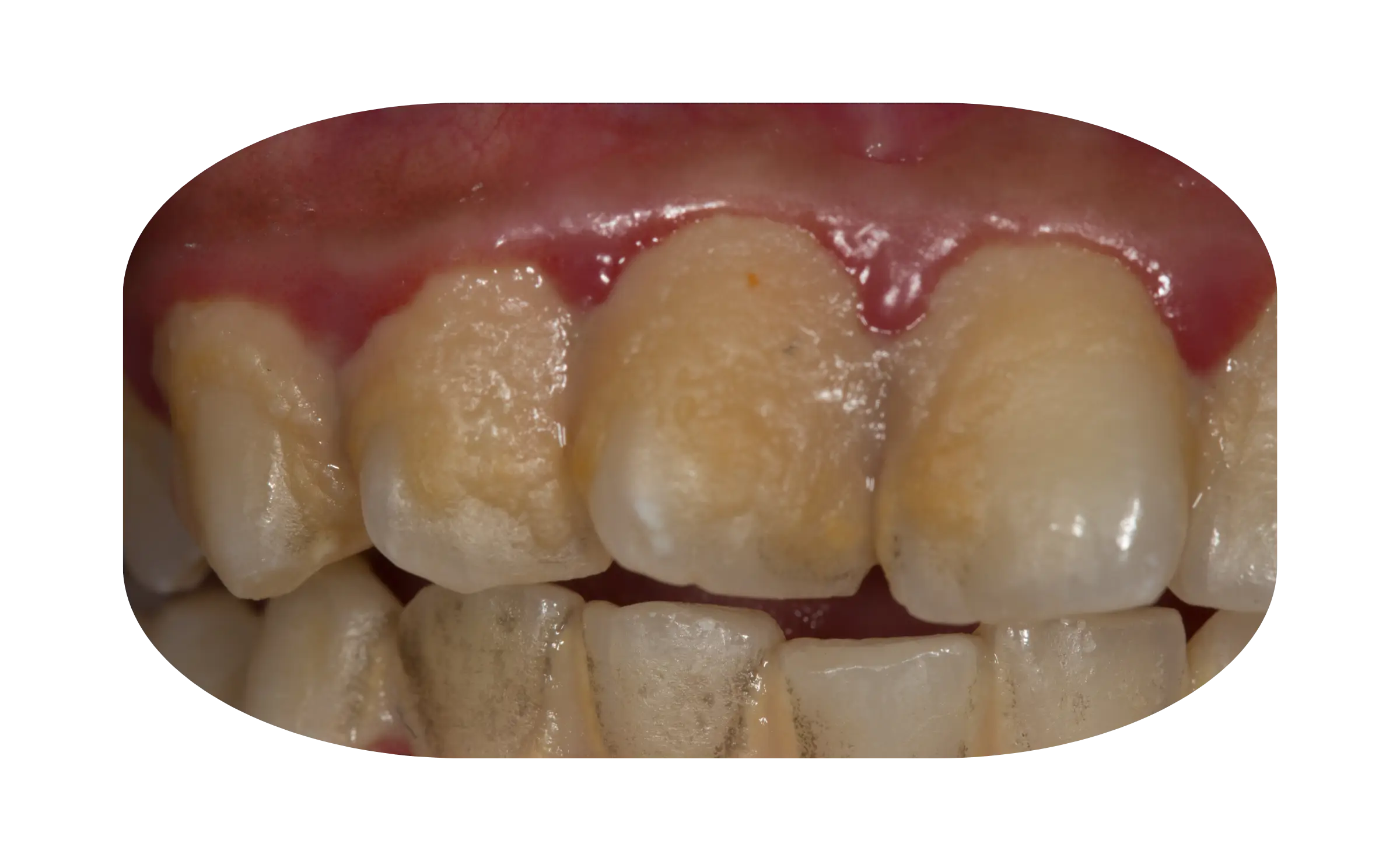
Karang Gigi Menumpuk
Scaling gigi sangat disarankan untuk mereka yang mengalami penumpukan karang gigi, tidak bisa dihilangkan hanya dengan menyikat gigi.

penderita Gingivitis
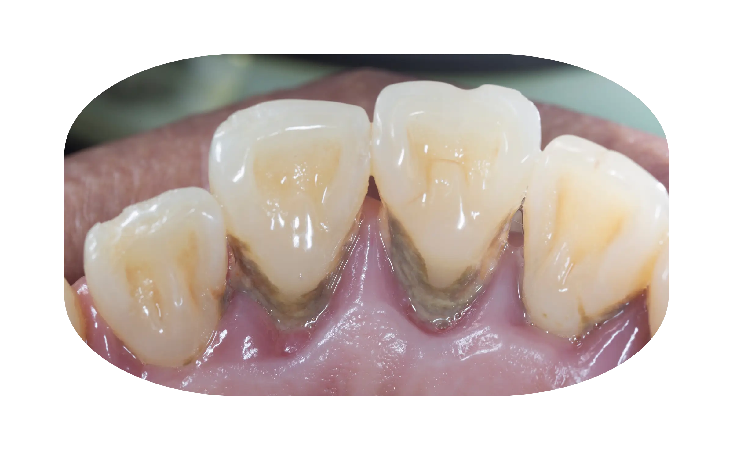
Scaling membantu menghilangkan plak dan karang gigi yang bisa menyebabkan peradangan gusi, sehingga mengurangi risiko penyakit gusi.

Penderita Periodontitis
Scaling sering digunakan dalam pengobatan periodontitis untuk mencegah kerusakan lebih lanjut pada gusi dan tulang gigi.
Ingin lakukan scaling secara rutin? Reservasi sekarang!
Ingin lakukan scaling secara rutin? Reservasi sekarang!
Testimoni Pasien
Profile Klinik Utama Pandawa
Sejak 2012, Klinik Utama Pandawa berkomitmen memberikan pelayanan terbaik, tepercaya dan aman bagi masyarakat Indonesia.
- Tenaga Medis Profesional & Tersertifikasi
- Fasilitas Canggih dengan Laboratorium & Apotek
- Data & Privasi Pasien Terjaga & Aman
- Ruang Tunggu Nyaman & Pelayanan Ramah
-
Buka Setiap Hari
Senin - Sabtu Pukul 10:00 - 19:00 WIB
Minggu Pukul 12:00 - 19:00 WIB -
Reservasi & Konsultasi Online
Call & Chat +62811742777
Fasilitas Klinik










Lokasi Klinik Utama Pandawa
Lokasi Klinik Utama Pandawa
Konsultasi Dokter Online
Tulis Keluhan Anda Kepada Dokter Spesialis Segera
Anda dapat membuat janji dengan menghubungi nomor telepon klinik kami di +62 811 742 777 atau Klik Contact Us
Silahkan untuk melengkapi form data diri dan layanan yang akan anda pilih sesuai promo atau diskon yang berlaku. Click Disini!
Anda dapat melakukan konsultasi gratis dengan menghubungi nomor telepon klinik kami di +62 811 742 777 atau Klik Contact Us
Gigi Taring: Ciri, Fungsi, dan Perawatannya
Gigi Taring: Ciri, Fungsi, dan Perawatannya Gigi taring, meski seringkali...
Read More10 Cara Membersihkan Karang Gigi yang Tepat dan Aman
10 Cara Membersihkan Karang Gigi yang Tepat dan Aman Karang...
Read MoreCara Mengatasi Mulut Pahit Saat Berpuasa
Cara Mengatasi Mulut Pahit Saat Berpuasa Cara mengatasi mulut pahit...
Read MoreLegalitas Klinik
Klinik Utama Pandawa berkomitmen untuk terus memberikan pelayanan terbaik dan tepercaya untuk masyarakat Indonesia sesuai dengan izin dan ketentuan yang berlaku.